Cabinet du Docteur Roland MARZOUK
Chirurgien Dentiste à Paris, Dentisterie Esthétique - Implantologie
ACCUEIL
LE CABINET
PLAN D'ACCÈS
NOS SOINS
ESTHÉTIQUE DENTAIRE
IMPLANTOLOGIE
PARODONTOLOGIE
FICHES CONSEILS
LIVRE D'OR
QUESTIONNAIRE
CAS CLINIQUES
DEMANDE DE RDV
QUESTIONNAIRE COVID-19
CONTACT
Cabinet du Docteur Roland MARZOUK
3 Rue Volney
75002
PARIS
+33 1 42 61 68 78
Chirurgien Dentiste à Paris, Dentisterie Esthétique - Implantologie
ACCUEIL
LE CABINET
PLAN D'ACCÈS
NOS SOINS
ESTHÉTIQUE DENTAIRE
IMPLANTOLOGIE
PARODONTOLOGIE
FICHES CONSEILS
LIVRE D'OR
QUESTIONNAIRE
CAS CLINIQUES
DEMANDE DE RDV
QUESTIONNAIRE COVID-19
CONTACT
CAS CLINIQUES DU DR MARZOUK
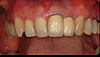
Cas 1 : Réfection sourire
Eclaircissement + réalisation de deux couronnes céramo-céramiques
Cas 2 : Réhabilitation esthétique maxillaire supérieur
Cas 3 : Réhabilitation occluso-fonctionnelle esthétique
Cas 4 : Réhabilitation implantaire totale
Cabinet du Docteur Roland MARZOUK
3 Rue Volney
75002
PARIS
+33 1 42 61 68 78
Politique de confidentialité et charte cookie
Mentions légales
Conditions Générales Utilisation
Charte déontologique
Ordre national
Annuaires chirurgiens dentistes
Lundi
9h - 14h
,
15h - 19h30
Mardi
9h - 14h
,
15h - 19h30
Mercredi
9h - 14h
,
15h - 19h30
Jeudi
9h - 14h
,
15h - 19h30
Vendredi
9h - 14h
,
15h - 19h30
Samedi
Fermé
Dimanche
Fermé
Création par
Connexion